ブログblog
クリーニングでこんなにきれいに!
2007年10月21日
おもてなしの街、銀座でロハスな歯科を目指す!
大山歯科クリニック 院長より
先日、歯の色が気になるといわれる、患者様がいらっしゃいました。
確かに表面に着色があり、黄色っぽく見えます。
こういう場合、歯の色をどのぐらいにしたいかという希望もありますが、歯の表面のプロフェッショナルクリーニングや、ホワイトニング(歯の漂白)を考えていきます。
まず第一選択は、歯の表面のプロフェッショナルクリーニングです。
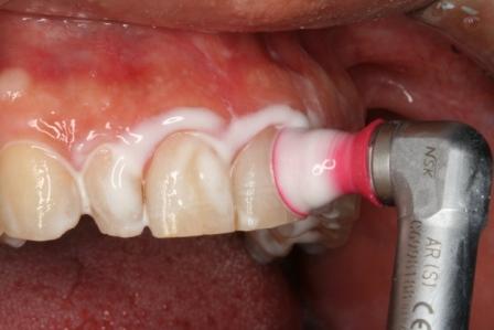
当院では、この様な着色を落として本来の歯のきれいさを取り戻すクリーニングのことを、特にプロフェッショナル・エステティック・クリーニング(PEC)と呼んでいます。
歯の表面を傷つけないように、特殊なペーストと、器具を使って優しくクリーニングをしていきます。
回転数も遅く、いわゆる「きーーーん」という、むし歯を削るような音や、「ごりごり・・・」といった振動もありません。
まったく怖いことはありませんのでご安心を!
PECをしたところ、こんなにきれいになりました。ものの30分程度です。カメラでハレーションを起こしてしまうぐらいのまばゆさです。
私達も「いやー、本当にきれいになりましたねぇ」と、とても嬉しいのですが、患者さんとしてみれば、30分前の口元はなんだったのかと思ってしまうぐらいの感動だったようです。
このぐらい口元が明るくなると、さすがに気分も晴れ晴れとして、最高の笑顔でお帰りになりました。
もっと明るくしたい方は、ホワイトニングをこの後に行います。
表面のみの着色は短時間でとてもきれいにすることができます。お茶やコーヒーをよくお飲みになる方や、タバコを吸われてヤニがつきやすい方は定期的にクリーニングすることで着色しにくくなります。
感動の口元を目指して、スタッフ一同お待ちしております。
*写真は患者様の了承を得て掲載しております。
CATEGORYカテゴリー
RECENT POSTS最近の投稿
TAGタグ
ARCHIVE月別アーカイブ
- 2025年 (11) 
- 2024年 (18) 
- 2023年 (14) 
- 2022年 (17) 
- 2021年 (19) 
- 2020年 (47) 
- 2019年 (20) 
- 2018年 (41) 
- 2017年 (28) 
- 2016年 (27) 
- 2015年 (19) 
- 2014年 (29) 
- 2013年 (22) 
- 2012年 (56) 
- 2011年 (79) 
- 2010年 (73) 
- 2009年 (26) 
- 2008年 (17) 
- 2007年 (108) 











 
 
 
 










